Schedule A Consultation

*All indicated fields must be completed. 

Please include non-medical questions and correspondence only.

Office Hours

Monday: 9:00AM - 5:00PM
Tuesday: 9:00AM - 5:00PM
Wednesday: 9:00AM - 5:00PM
Thursday: 8:00AM - 4:00PM
Friday: Closed
Saturday: Closed
Sunday: Closed

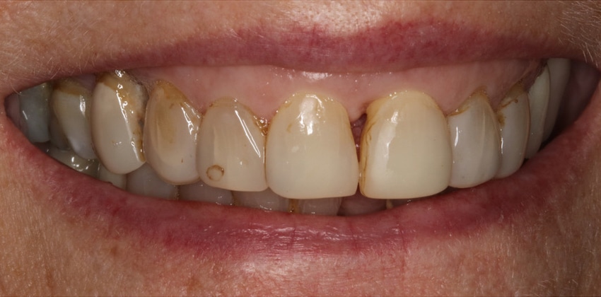
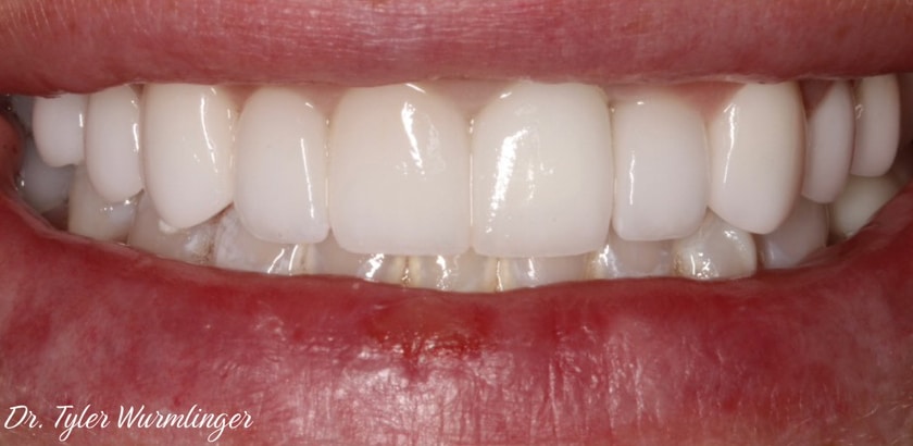
Cosmetic Dentistry of the Carolinas

Accessibility Toolbar